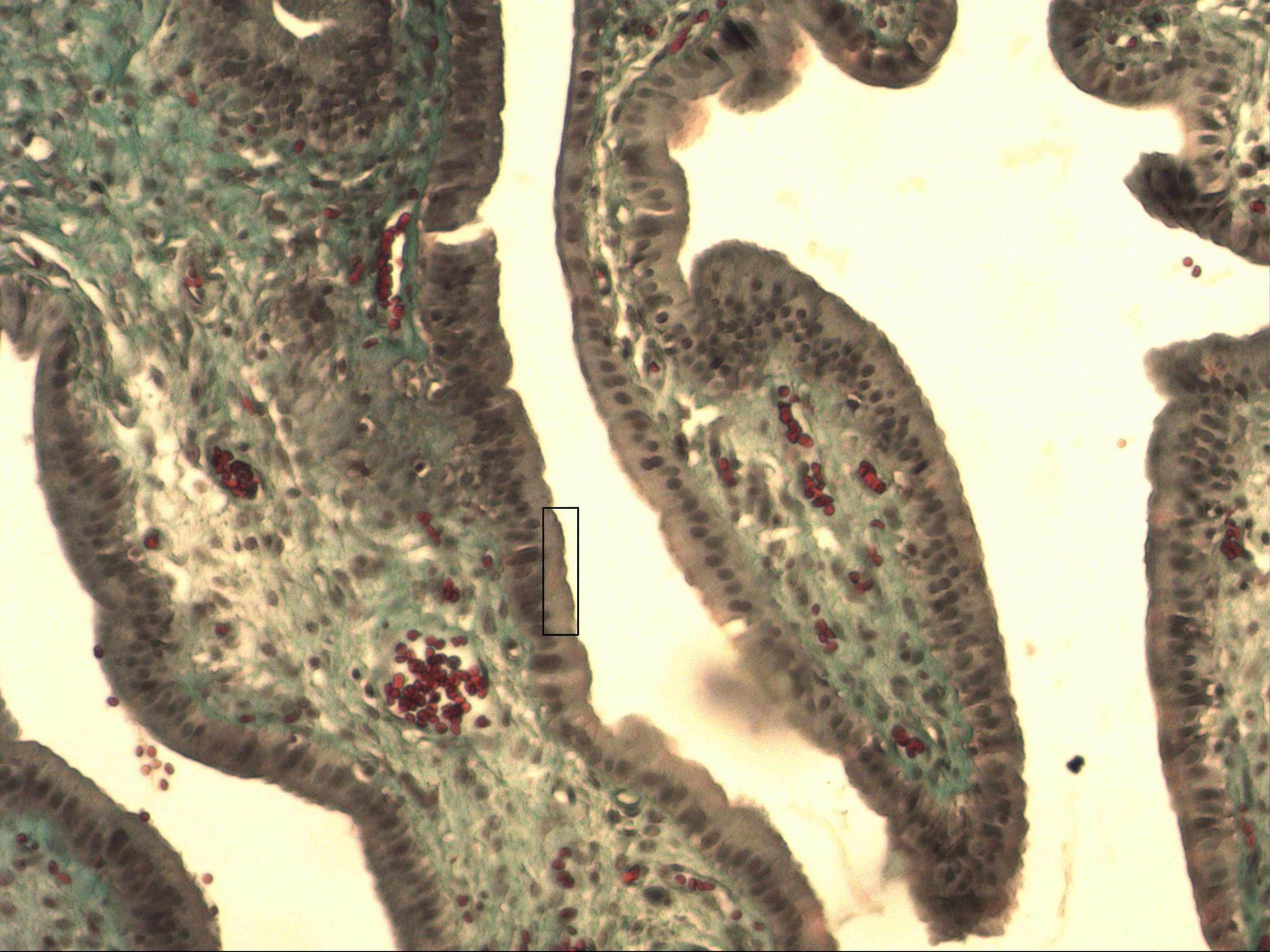
Einschichtiges hochprismatisches Epithel

Gallenblase [Trichrom]


Der Schnitt aus der Gallenblase zeigt ein einschichtiges hochprismatisches Epithel mit Mikrovilli zur Resorption.