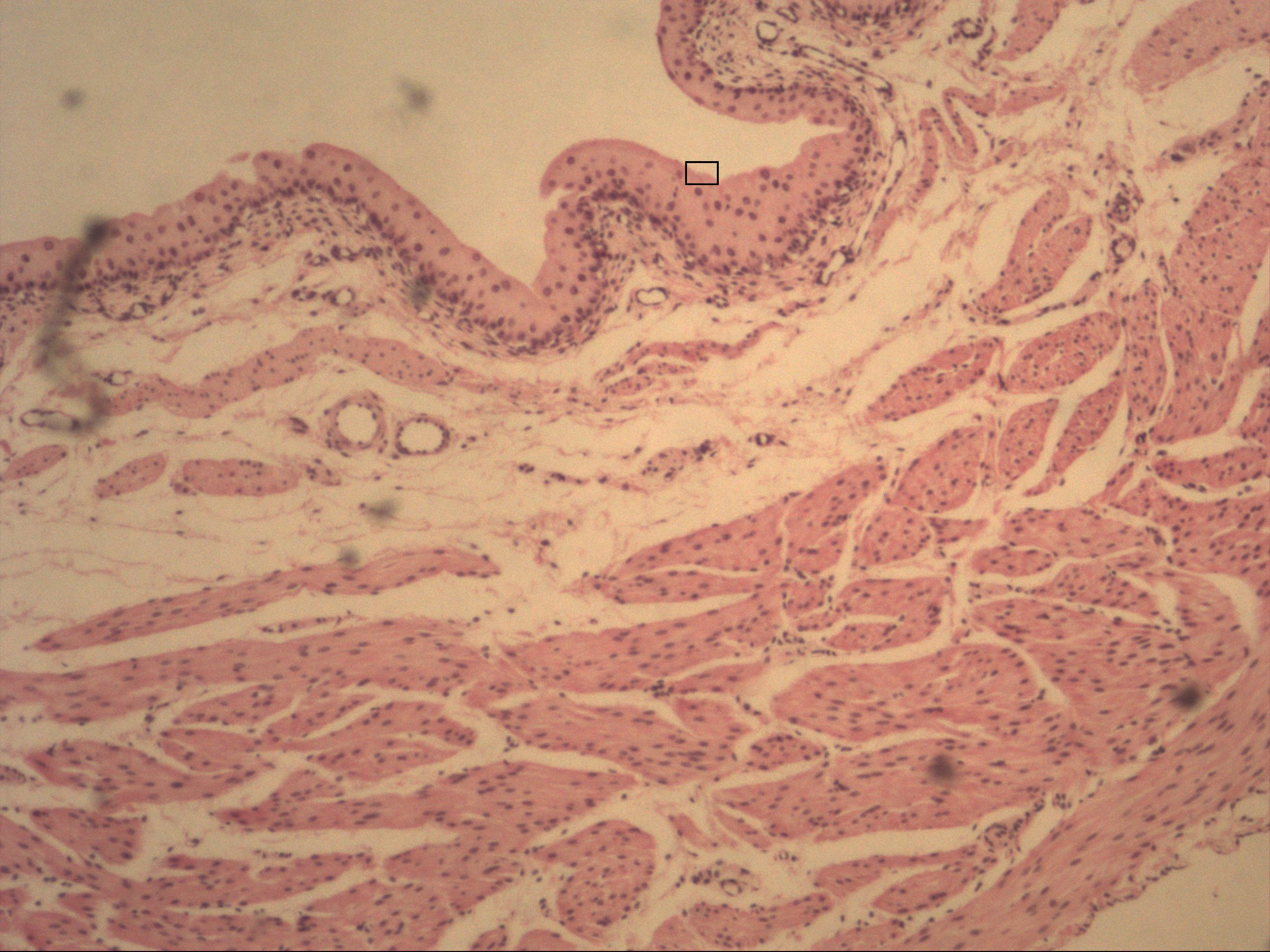
Urothel (Übergangsepithel)

Harnblase [HE]


Das Übergangsepithel findet man in den ableitenen Harnwegen. Es kann sich auf den Füllstand anpassen und besitzt eine schützende Crusta. Uroplakine und disquidale Vesikel kräftigen diesen Schutz.