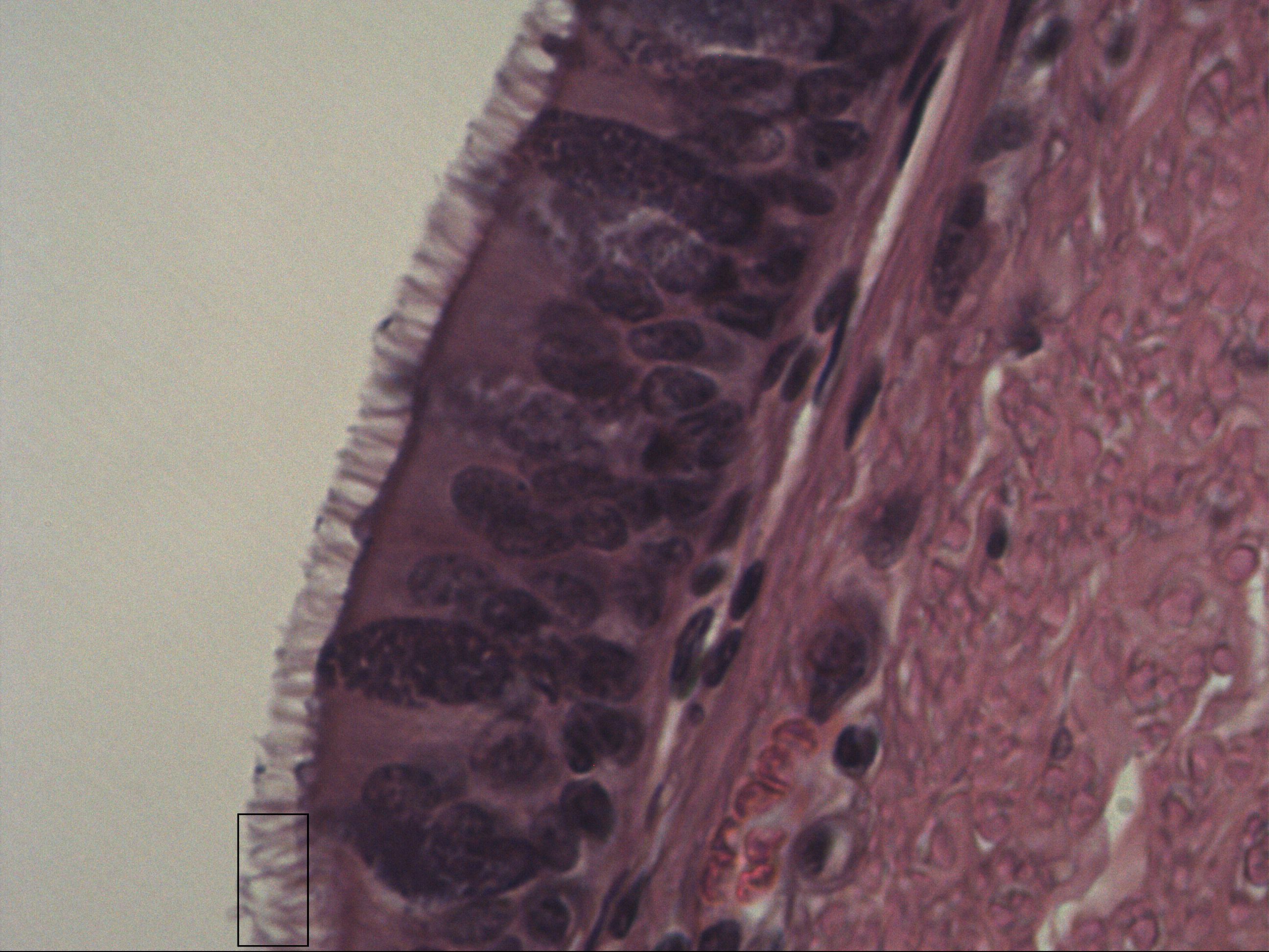
Mehrreihiges hochprismatisches Epithel mit Kinozilien

Trachea [HE]


Mehrreihiges hochprismatisches Flimmerepithel mit Kinozilien. Man erkennt Basalzellen und etwas höher gelegene Zellen am Zellkern. Das Flimmerepithel besitzt Kinozilien. Das Epithel kann sich bei Rauchern in ein Plattenepithel umwandeln (Metaplasie).