Tubuloazinöse Drüse

Glandula submandibularis [HE]


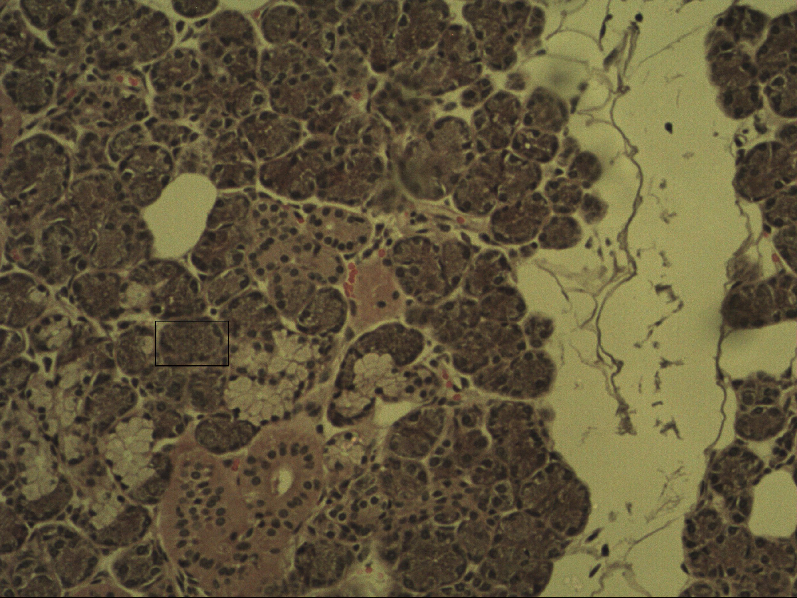
Hier erkennt man eine gemischte Drüse: Es handelt sich um eine serösmuköse Drüse. Dies bedeutet, dass man mehr seröse anstatt muköse Drüsen vorfindet. Dies lässt sich hier auch Anhand der Entstücke nachvollziehen. Außerdem ist ein Halbmond zu erkennen und ein Ausführungsgang. Ausführungsgänge werden in Schaltstücke und Streifenstücke (größeres Lumen) eingeteilt.