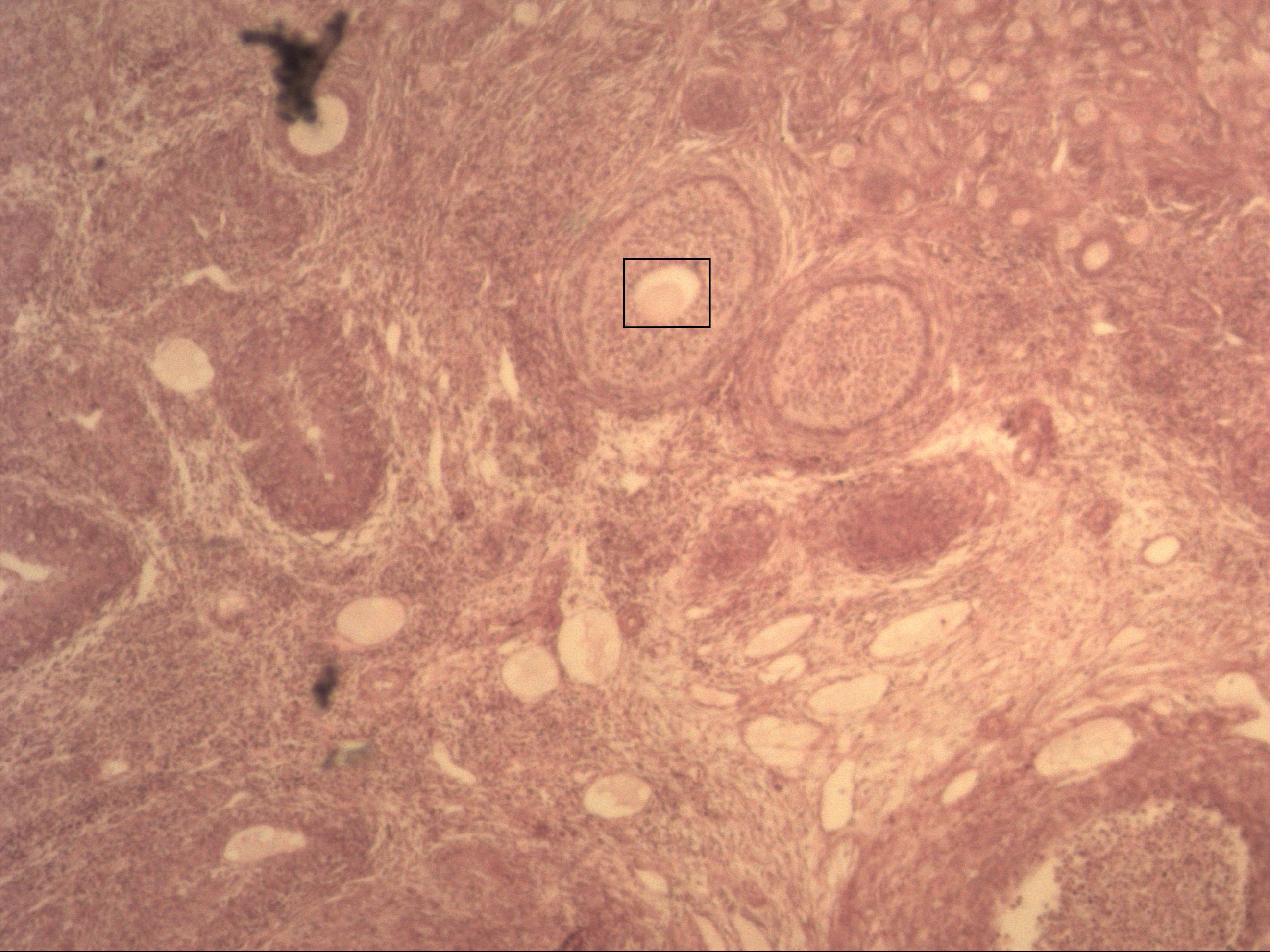
Zonula pellucida (zwischen Oozyte und Follikelepithel)
Primärfollikel
Sekundärfollikel
Oozyte
Primordialfollikel
Im Eierstock findet man die Ovarialfollikel ("Bläschen"). Die Entwicklung dieser wird in die folgenden Phase eingeteilt: Primordialfolikel (einschichtig flaches Epithel), Primärfollikel (einschichtig kubisches Epithel, Zona pellucida).