Einschichtiges Platten- und isoprismatisches Epithel

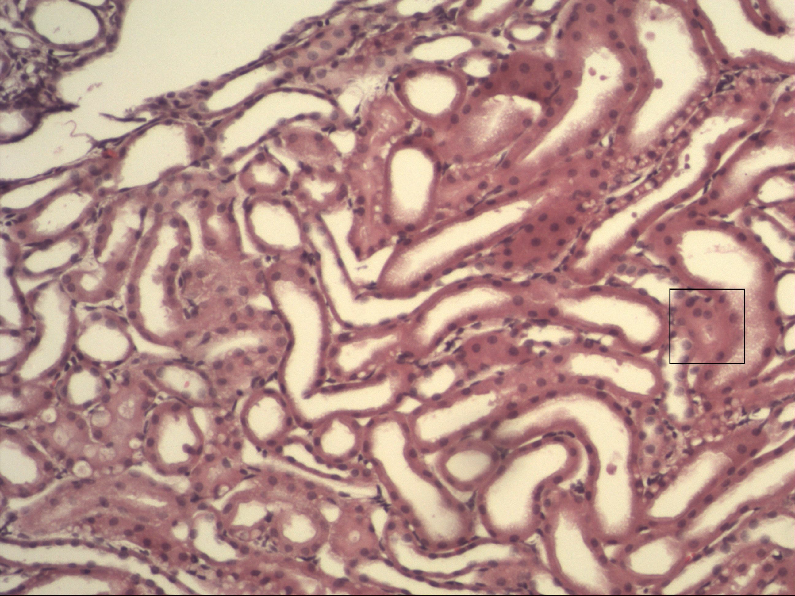
Niere [HE]


Ein histologischer Schnitt des Nierengewebes. Man erkennt Tubuli. Sammelrohre sind nicht zu erkennen. Diese sind größer und die Zellgrenzen lassen sich besser unterscheiden.